doc. MUDr. Vladimír Beneš, Ph.D.
Přednosta kliniky
224 432 501 vladimir.benes@fnmotol.czDomů > Kliniky a ambulance > Společná pracoviště > Neurochirurgická klinika dětí a dospělých 2. LF UK a FN Motol
Naše klinika poskytuje od roku 1978 operační léčbu onemocnění mozku, míchy a periferních nervů u dětí i dospělých. Jak dětská, tak dospělá část kliniky zajišťuje mnohostrannou péči zahrnující celé spektrum léčby v oboru neurochirurgie. Tým kliniky, kromě přednosty, tvoří 20 lékařů a více než 30 sester, kteří jsou pacientům stále k dispozici na lůžkových odděleních, ambulanci nebo v době pohotovostních služeb.
Hlavním mottem kliniky je péče orientovaná na pacienta, využívající nejmodernějších diagnostických a léčebných metod a miniinvazivních, šetrných operačních přístupů. Klinika dále těží z úzké interdisciplinární spolupráce v rámci univerzitního komplexu Fakultní nemocnice v Motole.
Provádění náročných neurochirurgických výkonů se neobejde bez kvalitního vybavení; naše klinika disponuje nejmodernější technikou: operační mikroskopy, exoskop, endoskop, navigace, neuromonitorace, ultrazvukový aspirátor nádorové tkáně, rtg zesilovače…
Ročně provádíme téměř 1500 výkonů na 2 operačních sálech. Pooperační péče je zajištěna na jednotkách intenzivní péče jak v dětské (6 lůžek), tak v dospělé části (6 lůžek).
Dětské oddělení kliniky je největší svého druhu nejen v České republice, ale patří k těm větším i v rámci Evropy. K dispozici je 12 standardních lůžek a 6 lůžek JIPových. Přítomnost rodičů menších dětí po celou dobu hospitalizace je samozřejmostí. Oddělení pro dospělé disponuje 18 lůžky, z toho je 6 pooperačních (JIP), a jedním nadstandardním lůžkem.
Dalším významným úkolem kliniky je výzkum v oblasti neurochirurgicky léčených onemocnění, vývoj nových léčebných metod, výuka studentů a lékařů v rámci postgraduálního vzdělávání. Na klinice působí 4 docenti, školitelé v oblasti postgraduálního studia, jsou zde vedeny jak dizertační, tak diplomové práce.
V našich specializovaných ambulancích můžete nalézt u odborných lékařů odpověď na Vaše otázky a problémy. Kvalita naší práce je pod stálým dohledem. Standardy a ukazatele poskytované péče jsou opakovaně sledovány akreditačním procesem a je hodnoceno jejich plnění.
Pobyt v nemocnici nepatří k příjemným obdobím života dospělého, natož dítěte. Přesto se celý tým Neurochirurgické kliniky vynasnaží, abyste se během pobytu na naší klinice cítili tak dobře a bezpečně jak to jen bude možné.
Přednosta kliniky: Doc. MUDr. Vladimír Beneš Ph.D.
Sekretariát tel. 224 432 501
Sekretariát – část pro děti
224 432 501, fax: 224 432 520 petra.zajickova@fnmotol.cz
Sekretariát – část pro dospělé
224 432 504, fax: 224 432 521 tereza.setinova@fnmotol.cz
Poliklinika, 3. patro
MUDr. Jakub Táborský, Ph.D.
MUDr. Miloslav Holub
MUDr. Miroslav Vaculík
Doc. MUDr. Petr Libý, Ph.D.
MUDr. Jana Táborská
Objednání do ambulance telefonicky ve dnech pondělí – pátek 7:00 – 8:00 12:00 – 14:00 hod. na tel čísle 22443 2523 nebo 22443 2501.
Pondělí – pátek od 9,00 – 14,00 (po 14,00 hod. pouze pro akutní pacienty na 1.p., uzel C)
MUDr. Martin Bláha, Ph.D.
MUDr. Václav Dlouhý
MUDr. Róbert Leško, Ph.D.
MUDr. Petr Skalický, Ph.D.
MUDr. JIří Steindler
MUDr. Jakub Táborský, Ph.D.
MUDr. Dmitry Tukmachev, Ph.D.
MUDr. Aleš Vlasák, Ph.D.
Pondělí plánované výkony na zákrokovém ambulantním sálku (přízemí B – C)
Objednání do ambulance telefonicky pondělí – pátek od 7.30 – 10.00hod. a 13.00 – 14.00 na tel čísle 22443 2564 eventuelně 22443 2501, nebo e-mailem na nchfnm@fnmotol.cz, s udáním telefonního čísla.
Dětská část Neurochirurgické kliniky se nachází v dětském monobloku, snížené přízemí, uzel C (SP C). Kapacita standardních lůžek je 14 a JIP lůžek 6.
Standardní pokoje jsou maximálně 3 lůžkové, se sociálním zařízením a v bezbariérovém provedení. JIP pokoje jsou 2 lůžkové s možností sledování TV a DVD. Pro využití volného času je dětem k dispozici herna (s TV a DVD), za dětmi dochází členové Dobrovolnického centra nemocnice, probíhají u nás klaunské vizity; zahrát na hudební nástroje a zazpívat chodí Loutky v nemocnici. Pokud je dítě schopno, tak za školáky dochází paní učitelky a o mimoškolní aktivity se stará paní družinářka.
Děti mohou v nemocnici používat své vlastní prádlo a z domova si přinést oblíbenou hračku. Mobilní telefon, notebook a ostatní elektronické přístroje jsou povoleny pouze na vlastní riziko.
Na oddělení je pacientům k dispozici lednice, kuchyňka s rychlovarnou konvicí a mikrovlnná trouba.
Doprovod dětí do 6 let a ZTP, ZTTP – pokud to dovolí momentální kapacita lůžek, je možné ubytovat na oddělení na rozkládacím lůžku s nárokem na stravu (přednost mají kojící maminky), pobyt hradí pojišťovna.
U dětí u starších 6 let, u kterých je přítomnost rodiče nezbytná, posílá lékař žádost o přijetí doprovodu na oddělení k posouzení reviznímu lékaři. Pokud revizní lékař pobyt doprovodu schválí, tak je doprovod ubytovaný na oddělení s nárokem na stravu (přednost mají kojící maminky a doprovody dětí do 6 let). Při obsazené kapacitě doprovodů, budou rodiče nejstarších dětí poslané na nezbytně nutnou dobu na noc na ubytovnu – nárok na stravu zůstává.
Děti po operacích ležící na JIP nebo na ARO
Když jde dítě na JIP, doprovodu zůstává nárok na lůžko s možností být na JIP neomezeně.
Když jde dítě na ARO, doprovody se propouští a v případě zájmu je možno zajistit ubytovnu. Po návratu zpět na naše oddělení jsou doprovody opět přijímány.
Rodiče dětí starších 6 let, u kterých není pobyt hrazen z prostředků zdravotního pojištění, a nutnost jejich přítomnosti neschválí revizní lékař, mohou během pobytu svého dítěte v nemocnici využít placených služeb ubytovny FN Motol. K dispozici je rovněž možnost ubytování hotelového typu – Motol Accommodation.
K příjmu na oddělení se dostavte do 9:30 hodin.
Aby mohla být operace provedena v plánovaném termínu, je třeba, aby se Vaše dítě dostavilo k přijetí zcela zdravé, bez známek akutního infekčního onemocnění (např. zvýšená teplota, rýma, kašel, průjem, vyrážka…). Také menstruace je překážkou k provedení operačního výkonu (popř. je možno upravit cyklus vhodnou medikací po dohodě s gynekologem)!
V případě výše uvedených komplikací, prosím kontaktujte naši kliniku ke změně termínu.
Formuláře: Předoperační vyšetření + Vstupní dotazník
K operaci s sebou přineste:
Aby mohlo být vyšetření provedeno v plánovaném termínu, je třeba, aby se Vaše dítě dostavilo k přijetí zcela zdravé, bez známek akutního infekčního onemocnění (např. zvýšená teplota, rýma, kašel, průjem, vyrážka…). V případě výše uvedených komplikací, prosím kontaktujte naši kliniku ke změně termínu.
K vyšetření s sebou přineste:
Kojeneckou stravu připravuje za sterilních podmínek mléčná kuchyně (ta si také ručí za nezávadnost rozvážené stravy), k dispozici máme ovocné přesnídávky, zeleninové a maso-zeleninové příkrmy. Rodiče si můžou donést příkrmy vlastní, pouze ale v originálním balení od výrobce. Pokud si rodiče chtějí chystat kojeneckou stravu sami, podepíší sestřičkám formulář, že takto činí na vlastní riziko a zodpovědnost a za jakékoliv zdravotní obtíže dítěte nenese oddělení, ani Mléčná kuchyně, zodpovědnost.
Pokud dítě nemá dietní omezení, může si vybírat z nabídky dvou druhů jídel (možnost výběru jídla se netýká pacientů v den příjmu). Přinesou- li návštěvy dětem jídlo připravené mimo pacientskou jídelnu (fastfoody a stánky s rychlým občerstvením), činí také na vlastní riziko a zodpovědnost, a za jakékoliv zdravotní obtíže nenese oddělení zodpovědnost.
dietním omezení dítěte bude rodiče informovat personál.
Rodiče hospitalizovaných dětí:
Parkování vozidel zákonných zástupců (doprovodů) hospitalizovaných dětí je umožněno v krytém parkingu i uvnitř areálu FN Motol, kdekoliv na místech, která jsou pro parkování vozidel návštěvníků a pacientů určena.
Formulář žádosti o bezplatné parkování vydá a vyplní pro zákonného zástupce ošetřující lékař.
Při každém výjezdu z areálu nemocnice odevzdá zákonný zástupce výběrčímu poplatků vjezdovou kartu a prokáže se platným vyplněným formulářem. Na základě toho mu nebude účtován poplatek za vjezd do areálu FN Motol.
Neurochirurgické lůžkové oddělení pro dospělé pacienty je umístěno v 1. patře sektoru C modrého monobloku FN Motol (dospělá část nemocnice).
Oddělení je rozděleno na standardní lůžkovou stanici, která má k dispozici 18 lůžek a na jednotku intenzivní péče (JIP), kde je 6 lůžek.
Jednotlivé pokoje standardní lůžkové stanice jsou určeny maximálně pro 3 pacienty, a jsou stavebně upraveny tak, že každé dva sousedící pokoje mají v propojovací chodbě 2 umyvadla, WC a sprchový kout. Na každém pokoji je k dispozici barevný televizor.
Oddělení disponuje jedním nadstandardním pokojem (cena 1 500 Kč/den).
Lůžka JIP jsou pod neustálým dohledem sester a jsou monitorována kamerovým systémem.
K přijetí na oddělení se dostavte do 9:30 hodin.
Aby mohla být operace provedena v plánovaném termínu, je třeba, abyste nevykazovali známky akutního infekčního onemocnění (např. zvýšená teplota, rýma, kašel, průjem, vyrážka…). V případě výše uvedených komplikací, prosím kontaktujte naši kliniku ke změně termínu.
K operaci s sebou přineste:
Neurochirurgická klinika disponuje dvěma operačními sály, které jsou vybaveny moderní technikou umožňující i ty nejnáročnější výkony: operační mikroskopy, exoskop, endoskop, navigace, ultrazvukový aspirátor nádorové tkáně, neuromonitorace, rtg zesilovače.
Nedílnou součástí neurochirurgického týmu jsou i dedikovaní anesteziologové s mnohaletými zkušenostmi v problematice neuroanestezie.
Onkoneurochirurgie je podobor neurochirurgie, který se zabývá diagnostikou a komplexní léčbou primárních nádorů mozku – gliomů, jako i těch sekundárních – mozkových metastáz.
Glioblastom na magnetické rezonanci Metastáza na magnetické rezonanci
Celý diagnostický a terapeutický proces dětských a dospělých pacientů realizujeme v rámci onkoneurochirugického programu Fakultní nemocnice Motol, a to na základě spolupráce multidisciplinárního týmu, kterého součástí jsou kromě neurochirurgů především neurologové, neuroonkologové a neuropatologové.
Do onkoneurochirurgického programu patří každý pacient s nově diagnostikovaným nádorovým ložiskem v oblasti mozku a míchy. Fakultní nemocnice v Motole disponuje pokročilými neurozobrazovacími a elektrofyziologickými metodami, které umožňuji stanovení správné diagnózy jako i komplexními terapeutickými možnostmi (neurochirurgie, radioterapie, chemoterapie, podpůrná terapie), kterými lze zabezpečit adekvátní léčbu.
Přesná příčina vzniku primárních mozkových nádorů není známa. Existuje však několik faktorů, které zvyšují pravděpodobnost jejich vzniku. Jsou to, především:
Mozkové metastázy (sekundární nádory mozku) vznikají šířením rakovinných buněk krví nebo lymfatickým systémem (metastazují) z původního nádoru (primární ložisko) do mozku.
Gliomy jsou nádory vznikající z podpůrných gliových buněk mozku. Tyto buňky se nacházejí kolem buněk nervových, kterým pomáhají fungovat. Gliomy vznikají v mozku i míše. Základní tři typy gliových buněk z kterých vznikají nádory jsou astrocyty, oligodendrocyty a ependymální bunky. Rozdělení gliomů je založeno na typu buňky z které vznikají, jako i na jejich genetických vlastnostech. To nám umožňuje předpokládat jak se daný nádor bude chovat a jaká léčba bude na něj fungovat.
Gliomy jsou nejčastějším primárním nádorem mozku. Vlastní typ nádoru určuje léčbu a prognózu. Léčebné možnosti jsou obecně chirurgický zákrok, radiační terapie a chemoterapie.
Mozkové metastázy vznikají, když se nádorové buňky rozšíří z původního místa vzniku nádorového procesu do mozku. Jakýkoliv zhoubný nádor se touto cestou může rozšířit do mozku. Nejčastěji se jedná o rakovinu plic, prsu, tlustého střeva, ledvin a maligní melanom kůže. Mozkové metastázy postupně rostou, vytvářejí tlak a mění funkci okolní mozkové tkáně. Určení správné diagnózy (jaký je primární nádor, jak reaguje na léčbu, jak je proces rozšířený) je důležitým předpokladem optimální léčby.
Projevy nádorů mozku se liší podle typu nádoru, jeho velikosti, umístění a rychlosti růstu. Nejčastěji nimi jsou:
K stanovení správné diagnózy a tím i léčby slouží soubor následujících vyšetření:
Počítačová tomografie (CT) je základním vyšetřením používaným v akutní praxi, které má za cíl určit jaká je základní příčina potíží – ischemie, krvácení, nádor či infekce.
MR spektroskopie (MRS) a ASL jsou metody magnetické rezonance, které nám umožňují určit podstatu (zda se jedná spíše o nádorový proces) a jeho charakter (nezhoubný či zhoubný). Konečné slovo má však vždy histologie.
Funkční MRI (fMRI) a zobrazení mozkových drah (DTI) nám umožňují identifikaci a lokalizaci mozkových center a drah během plnění různých jednoduchých úkolů (pohyb končetiny, čtení, poslech) při provádění MRI. Při plánování chirurgického zákroku se jedná o nezbytnou informaci, těmto centrům se chirurg musí vyhnout.Léčba gliomů mozku i mozkových metastáz je léčbou komplexní, založenou na spolupráci řady spolupracujících oborů – neurochirurgie, neurologie, onkologie a neuropatologie. Zohledňujeme typ nádoru, rozsah postižení, přidružené nemoci a celkový stav pacienta. Navržená léčba je tzv. “šita na míru” po zohlednění všech uvedených aspektů se snahou o dosažení optimálního (nejlepšího možného) výsledku.
Sledování – t.j. monitorace vývoje klinického stavu a neurozobrazovací vyšetření v pravidelných intervalech je primárně určeno jen u velmi malé podskupiny nemocných (nízkostupňové gliomy). Postup se mění při vzniku klinických příznaků či vývoji na magnetické rezonanci nebo PET vyšetření.
Glioblastom před operací, (horní řádek), bezprostředně po radikální operaci (střední řádek) a po půlročním sledování (dolní řádek).
Pro dosažení optimálního rozsahu výkonu se zachování funkčně významných oblastí (jako jsou centra a dráhy pro hybnost, řeč, smyslové funkce, apod.) se na Neurochirurgické klinice 2. LF UK a FNM používá:
Operaci následující onkologická léčba obvykle zahrnuje tyto léčebné modality:
Nejčastější nádory v dětském věku mohou být nezhoubné, tzv. nízkostuňové gliální nádory, např. pilocytární astrocytomy. Nízkostupňové gliomy v dětském věku se chovají odlišně než u dospělých, hlavně tím, že zpravidla nepostupují do vyšších stupňů a malignity. Je proto potřeba k nim zaujmout vysoce šetrný přístup a vyšetření včetně operačního řešení provádět na kompetentním pracovišti se zázemím moderní komplexní dětské medicíny.
Operabilní nádory v dětském věku odstraňujeme s využitím moderních přístupů jako jsou navigace, trasování nervových traktů, peroperačního elektrofyziologického monitoringu a intraoperačního ultrazvuku a neuroendoskopie.
Zvláště šetrně přistupujeme k pacientům s inoperabilními tzv. nízkostupňovými, pomalu rostoucími nádory. Zde provádíme šetrné minimálně invazivní výkony, převážně endoskopické biopsie. Výhodou tohoto přístupu jsou malá operační zátěž, rychlá rekonvalescence a získání potřebných informací o nádorovém procesu k další léčbě. Úzce spolupracujeme s dětskými neuroonkology. Nezbytně nutná je moderní histopatologická diagnostika, která probíhá v rámci naší nemocnice nebo ve spolupráci se evropskými (Heidelberg) či světovými centry (Toronto). Tímto přístupem máme možnosti zajištění nejmodernější světové léčby, např. zařazením pacientů do velkých mezinárodních studií.
Výsledky léčby jsou závislé na typu a rozsahu nádoru, jeho vztahu ke kritickým strukturám mozku, jako i na přidružených nemocech a celkovém stavu pacienta. U mozkových metastáz navíc od stadia primárního nádorového procesu. Vlastní výsledky léčby jsou pak dány možným bezpečným rozsahem neurochirurgického výkonu a odpovědí nádoru na radiační léčbu a chemoterapii.
Jednotlivé oblasti mozku mají svou specifickou funkci. Rizika se proto liší v závislosti na místě operace a dle typu chirurgického zákroku. Složitým diagnostickým procesem a cílenou strategii samotného výkonu se snažíme o minimalizaci rizika jakéhokoli neurologického deficitu.
Nezhoubné mozkové nádory nedestruují mozkovou tkáň jako takovou, ale klinické příznaky, které vyvolávají, jsou způsobené tlakem na mozkový parenchym nebo na mokovodné cesty. Terapie těchto nádorů je vesměs chirurgická. Naším cílem je maximální radikalita výkonu při zachování plné neurologické funkce. K tomu nám napomáhá podrobné předoperační vyšetření pomocí MRI, CT či angiografie. Během vlastního výkonu je dnes na našem pracovišti naprosto běžný elektrofyziologický monitoring, kontrola pomocí MRI navigace a moderní miniinvazivní metody práce. Každá patologie také vyžaduje konkrétní individuální přístup, který je opakovaně diskutován v rámci našeho týmu i na multioborových seminářích.
Meningeomy jsou nádory vyrůstající z obalů mozku. V naprosté většině jsou nezhoubné, velmi pomalu rostoucí a postihují především starší pacienty a častěji ženy. Představují zhruba 15-20% všech mozkových nádorů. Vzhledem k pomalému růstu přichází většina pacientů s velkým nádorem, který se projevuje tlakem na mozkovou tkáň s variabilními klinickými příznaky podle místa výskytu. Nezřídka se v dnešní době zachytí ještě asymptomatický nádor během vyšetřování pro nesouvisející obtíže. U menších asymptomatických tumorů lze pacienta pouze sledovat rutinními MRI kontrolami.
U větších a symptomatických nádorů je třeba přistoupit k operačnímu řešení. Cílem výkonu je radikální resekce včetně infiltrované tvrdé pleny vždy, když je to technicky možné. Pokud nelze vzhledem k lokalitě nádoru dosáhnout plné radikality, lze drobné residuum sledovat či dozářit Leksellovým gamanožem.
Ependymom je nádor vyrůstající z výstelky mozkových komor. V dětském
věku se jedná o jeden z nejčastějších nádorů a jeho výskyt je především intrakraniální, u dospělých pacientů je vzácnější s častějším výskytem v páteřním kanále. Histologicky se jedná o poměrně různorodou skupinu s tvorbou implantačních metastáz u vyšších stupňů. Léčba těchto nádorů je chirurgická, kdy radikalita výkonu je výrazným prognostickým faktorem.

Jedná se o nezhoubný nádor s typickým výskytem v oblasti mozečku. Postihuje hlavně mladší pacienty a často bývá součástí komplexního geneticky podmíněného syndromu. Klinicky se tlak v zadní jámě lební projevuje mozečkovým syndromem až rozvojem nitrolební hypertenze. Tento typ nádoru je vždy indikací k operačnímu řešení.

Vestibulární schwannom je raritnější, intrakraniální nezhoubný novotvar s výskytem přibližně 10 pacientů na milion obyvatel. Jedná se typicky o pomalu rostoucí nádor, jehož nejčastějšími příznaky jsou porucha sluchu a rovnováhy. Při dalším růstu může tlakem na lícní nerv docházet k poruše hybnosti svalů obličeje a u opravdu velkých nádorů s tlakem na mozkový kmen a mozkové komory i k dalším závažnějším neurologickým příznakům. Vzhledem k pomalému růstu lze velkou část těchto nádorů pouze sledovat pravidelnými MRI kontrolami, při růstu potom přistupujeme k operačnímu řešení. Tyto výkony provádíme ve spolupráci s Klinikou ORL a chirurgie hlavy a krku 1. LF UK. Samozřejmostí je elektrofyziologická kontrola funkce hlavových nervů během operace.
Nádory mozku v dětském věku mohou být často nezhoubné a kompletně odstranitelné. Mohou se projevit nitrolební hypertenzí, hydrocefalem, neurologickým nálezem, epileptickým záchvatem, poruchou zraku nebo hormonální dysbalancí. Mezi dobře odstranitelné nádory patří některé typy papilomů plexu vyrůstající z cévních struktur uvnitř mozkových komor. Dysembryoplastické neuroepiteliální tumory (DNET) se zpravidla projeví epilepsií. Odstraněním se řeší i epilepsie. Některé typy tumorů je možné vyjmout šetrným přístupem mimo nervovou tkáň, např. meningiomy a některé pineální tumory. Jiné typy nezhoubných nádorů mohou být anatomicky naopak špatně umístěné, např. kraniofaryngeomy nebo pomalu rostoucí nádory vyrůstají z oblasti zrakových drah. Tam, kde není možné nádor bezpečně vyjmout, odebíráme minimálně invazivně (stereotakticky jehlově nebo navigovaně endoskopicky) biopsii, na jejíž základě je rozhodnuto o další léčbě.
Část lebky, na které “leží” mozek, a která lebeční dutinu oddděluje od obličejové části lebky, se nazývá lební baze. Chirurgie této oblasti tedy logicky sdružuje obory jichž se dotýká – neurochirurgii, ORL, oční, stomatologii, ale i plastickou chirurgii či intervenční radiologii. Komplexní anatomické poměry a pestrá škála patologií se neobejdou bez této mezioborové spolupráce. Operační výkony zde prováděné jsou charakterizovány rozsáhlým předoperačním plánováním uvedených odborností. Cílem této spolupráce je výkon “na míru”, který si klade za cíl maximálně radikální operaci, minimální riziko komplikací a adekvátní kosmetický výsledek. Fakultní nemocnice v Motole svou komplexností a návazností na ostatní odbornosti umožňuje řešit tuto obtížnou problematiku cestou multioborové spolupráce. Běžnou součástí operačního týmu v těchto případech jsou kolegové z Kliniky ORL a chirurgie hlavy a krku 1. LF UK a Stomatologické kliniky dětí a dospělých 2. LF UK. Na resekční výkon, jehož hlavním cílem je především neporanit vitální nervové a cévní struktury v anatomicky obtížných oblastech (jako například v kavernózním splavu, či skalní kosti) v některých případech navazuje výkon rekonstrukční, kdy je třeba řešit větší defekt měkkých tkání. Rekonstrukční část výkonu provádíme ve spolupráci s plastickými chirurgy z Chirurgické kliniky 2. LF UK.
Nádory uvnitř páteřního kanálu jsou méně časté a ve většině případů nezhoubné. Jsou však nebezpečné svým růstem a tlakem na míchu a míšní kořeny. Náš přístup k těmto nádorům je tedy velmi aktivní a pacienti jsou indikováni k časnému operačnímu řešení. Typem jsou tyto nádory obdobné intrakraniálním, jedná se tedy nejčastěji o meningeomy či ependymomy, v oblasti nervových kořenů potom o schwannomy či neurofibromy. Klinicky se projevují bolestmi, poruchou hybnosti a citlivosti končetin, případně inkontinencí moči nebo stolice.
Cévní neurochirurgie (též cerebrovaskulární) je specializovaná oblast oboru zabývající se diagnostikou a komplexní léčbou onemocnění mozkových cév. Jedná se o léze benigní, tedy po jejich vyřešení je pacient vyléčen a pouze dlouhodobě sledován. Tato problematika se neobejde bez úzké mezioborové spolupráce především s radiology (jak v oblasti diagnostické, tak i při léčbě samotné), neurology, ale například i s radiochirurgy (Leksellův gama nůž). Při řešení všech cévních onemocnění musíme vždy pečlivě vážit přirozený průběh onemocnění (tedy jaké je riziko pro pacienta plynoucí z diagnózy v daný moment a po zbytek života) a oproti tomu postavit riziko námi navrhované terapie. Každého pacienta posuzujeme napříč obory a výsledný léčebný plán je tedy individuálně přizpůsoben s přihlédnutím ke zmiňovaným rizikům. Pochopitelným cílem je jejich minimalizace a maximální snaha o vyřešení onemocnění. Cévní neurochirurgie řeší především následující onemocnění.
Subarachnoidální krvácení (SAK) je závažný stav, při kterém dochází ke krvácení do mokových prostor na spodině mozku. Nejčastější příčinou je tzv. mozkové aneuryzma (česky výduť). Pod tímto názvem se skrývá získané onemocnění cévní stěny mozkové tepny, které si lze představit jako její slepou výchlipku. Nejčastěji se nachází na tepnách probíhajících právě na spodině mozku. Svého nositele ohrožuje především prasknutím, kdy se proud krve rozlije podél mozku či doslova drtí přilehlou mozkovou tkáň. Toto krvácení pacienti vnímají jako náhlou, prudkou, dosud nepoznanou, bolest hlavy, nezřídka je doprovázeno i ztrátou vědomí či poruchou hybnosti. Po převozu do nemocnice obvykle následuje CT vyšetření a CT angiografie, které ukážou stav mozku po proběhlé příhodě a její příčinu. Následky krvácení jsou bohužel v mnoha případech těžké a trvalé. Léčba následující po takové příhodě má za cíl vyřadit krvácející výduť z oběhu, tím předejít opakovanému krvácení (má ještě horší prognózu) a umožnit nasazení moderní intenzivní léčby. Samotným vyřazením aneuryzmatu z oběhu tedy teprve začíná druhá část léčby. Pacient je po dobu cca 2 týdnů ohrožen rozvojem tzv. vazospasmů (stažením mozkových tepen), které v konečném důsledku může vést až k rozvoji mozkové ischemie. Intenzivní terapie se zaměřuje na prevenci rozvoje tohoto stavu. Dalším průvodním jevem SAK může být rozvoj hydrocefalu, který si mnohdy vyžádá provedení zkratové operace. Vedle těchto dvou nejobávanějších stavů se lze setkat ještě s řadou komplikací z oblasti interní či neurologické (např. epilepsie).
Atraktivní je tedy preventivní léčba, která předchází samotnému prasknutí výdutě. S rozšířením diagnostických možností (CT a MRI) na úroveň okresních nemocnic se v posledních letech setkáváme s náhodným nálezem aneuryzmatu; jako vedlejší nález na vyšetření provedeném pro nesouvisející obtíže (např. drobný úraz, běžné bolesti hlavy či závratě). V těchto případech musíme velmi dobře zvážit rizika ruptury výdutě; mezi hlavní rizikové faktory patří např. velikost, lokalizace či vysoký krevní tlak. Oproti riziku ruptury stojí komplikace případného výkonu beroucí v potaz nejen aneuryzma, ale i celkový stav pacienta.
Samotného uzávěru aneuryzmatu lze dosáhnout dvěma způsoby: chirurgicky – naložením svorky přes vstup do výdutě; a endovaskulárně – radiolog pomocí speciálních tenkých hadiček pronikne tepenným řečištěm přímo do výdutě a speciálními spirálkami ji vyplní. Rozhodnutí, které řešení je vhodné pro konkrétní výduť a pacienta, vyplyne z mezioborové diskuze zohledňující nejen výše zmiňované faktory. Po vyřazení aneuryzmatu z oběhu je pacient dlouhodobě sledován pomocí CT či MR angiografie – cílem je odhalit případnou recidivu v původní oblasti či nově vzniklou výduť na jiném místě mozkové cirkulace.
Arteriovenózní malformace (AVM) je síť patologických dilatovaných cév, kdy krev proudí přímo z tepenné části řečiště do žilní, chybí tedy normálně přítomné kapilární řečiště. Cévy jsou tudíž vystaveny vysokému průtoku a tlaku krve a hrozí jejich prasknutí s následným mozkovým krvácením. Vyjma tohoto se AVM může projevit epileptickým záchvatem či příznaky připomínající mozkovou mrtvici; AVM „okrádá“ přilehlou mozkovou tkáň o krev a kyslík, což může vyvolat jak příznaky ischemie, tak právě epileptický záchvat. AVM může být též náhodně odhalena při vyšetření pro nesouvisející potíže.
Možnosti léčby jsou:
Na rozdíl od AVM, kde krev proudí pod vysokým tlakem, jsou kavernomy nízkoprůtokové cévní léze. Lze si je též představit jako souvislé dutinky (podobné např. malině) naplněné krví. Oslabená cévní stěna těchto klubíček může prasknout a způsobit mozkové krvácení. Dalším projevem bývá epileptický záchvat. Léčba je v současnosti pouze chirurgická, využívá moderních metod: navigace, která umožní cílený přístup; peroperační monitorace upozorní chirurga na přítomnost důležitých center a nervových drah.
Prudká, šlehavá a záchvatovitá bolest, často vyvolaná určitým spouštěcím mechanizmem, se označuje jako neuralgie. Nejčastěji se vyskytuje v oblasti obličeje a je typicky lokalizována do inervační oblasti trojklaného nervu. Jednou z jejích příčin může být tzv. neurovaskulární konflikt. Jedná s o dráždění trojklaného nervu po výstupu z mozkového kmene kolem probíhající cévou (nejčastěji jednou z mozečkových tepen). Pokud není účinná medikamentózní léčba (nebo ji pacient netoleruje), je na místě operační řešení. Během operace z malého přístupu chirurg šetrně oddálí cévu křižující nerv, vloží mezi ně kousek teflonu a v novém postavení vše fixuje tkáňovým lepidlem. Výkon se provádí v celkové anestezii za monitorace funkcí hlavových nervů, především lícního. Úlevu od bolesti udává vysoké procento (cca 80%) pacientů.
Dnes jsou k dispozici dva typy léčby:
Endovaskulární – radiolog pomocí speciálních katétrů pronikne tepenným řečištěm do místa zúžení, následně jej „roztáhne“ a průsvit tepny obnovný speciální trubičkou, tzv. stentemObě techniky mají své výhody a nevýhody, obecně lze říci, že chirurgické řešení preferujeme u mladších pacientů s kalcifikovaným plátem, naopak endovaskulární přístup je výhodnější pro interně rizikové pacienty s měkkým plátem či anatomicky složitě přístupnou bifurkací krkavice.
Progreduje-li zúžení krkavice dále, může dojít až k jejímu úplnému uzávěru. Samotný moment uzávěru se nemusí vůbec projevit, ale obvykle proběhne pod obrazem více či méně závažné mozkové příhody. Není-li céva záhy zrekanalizována, stane se uzávěr chronický a mozek je dále zásobován krví ostatními tepnami. Nedostatečné krevní zásobení v povodí uzavřené tepny se někdy manifestuje jako nepříliš závažné, ale opakované, mozkové mrtvice; případně lze tuto nedostatečnost odhalit pomocí specializovaného vyšetření SPECT či PET. V tomto případě je poté na místě krevní zásobení postižené oblasti mozku podpořit. Elegantní řešení nabízí tzv. extra-intrakraniální anastomóza: chirurg vypreparuje tepnu zásobující vlasovou část hlavy a z malé kraniotomie ji našije na tepnu probíhající na povrchu mozku.
V dětském věku se mezi cévními patologiemi vyskytují nejčastěji tzv. piální arteriovenozní malformace (pAVM), tj. přímé spojení tepen na žíly přes tzv. nidus patologických cév. Rizikem těchto malformací je jejich prasknutí. Vhodné typy pAVM operujeme mikrochirurgickým přístupem. Některé typy pAVM je nutno ošetřit endovaskulárním přístupem a nebo ozářit gama nožem. Všechny tyto možnosti máme k dispozici.
V oblasti vzácných cévních malformací typu malformace Galénské žíly a durálních malformací splavů je metodou volby endovaskulární ošetření a u těchto malformací je nutný i moderní přístup k řešení přidružených komplikací, jako je hydrocephalus, kardiální a neurologická problematika. Pacienti s tímto nálezem přímo vyžadují komplexní řešení využívající zázemí dětské části nemocnice.
Epileptochirurgie představuje soubor chirurgických procedur, jejichž cílem je odstranění či ovlivnění funkce jedné či více oblastí mozku, které jsou zodpovědné za vznik záchvatů.
Epileptochirurgické zákroky se provádí u dětských a dospělých pacientů, u kterých není dosažena kontrola epileptických záchvatů konzervativní léčbou. Prvotní léčbou epilepsie jsou režimové opatření a protizáchvatové léky – antiepileptika. V případě jejich selhání, t.j. po stanovení tzv. farmakorezistence (nedosažení kontroly záchvatů po nasazení 2 antiepileptik), či při neadekvátním neuropsychologickém vývoji u dětí, podstupuje pacient baterii předoperačních vyšetření. Na základě jejich výsledků následně můžeme stanovit, jednak zda je možné operační zákrok provést, a zda je takový zákrok pro pacienta bezpečný.
Celý diagnostický a terapeutický proces dětských a dospělých farmakorezistentních pacientů realizujeme v rámci epileptochirurgického programu Centra pro epilepsie Motol, a to na základě spolupráce multidisciplinárního týmu Pražské epileptochirurgické skupiny (PES). Kromě neurochirurgů jsou její součástí především neurologové, dále neuropsychologové, neuroradiologové a neuropatologové.
Cílem celého procesu je vyléčit epilepsii nebo významně omezit závažnost a četnost epileptických záchvatů. Dále také zlepšit neuropsychologický vývoj u dětí a kvalitu života pacientů. Farmakorezistentní epilepsie s sebou přináší řadu zdravotních rizik a společenských omezení a to nejen pro pacienta, ale také pro jeho rodinu. Například rizika úrazu, zpoždění neuropsychologického vývoje, deprese, poruchy paměti, rizika týkající se otěhotnění a gravidity či omezení jako je zákaz řízení motorových vozidel apod.
Do komplexního Centra pro epilepsie má být dle doporučení Mezinárodní ligy proti epilepsii (ILAE) odeslán každý pacient s farmakorezistentní (léky nezvladatelnou) epilepsií. Naše Centrum pro epilepsie Motol disponuje pokročilými neurozobrazovacími a elektrofyziologickými metodami, které umožňuji úspěšnou léčbu epilepsie i u pacientů se závažnou epilepsií.
Asi čtvrtina pacientů s epilepsií jsou pacienti farmakorezistentní, ale jen část (cca 25 %) z nich jsou kandidáti k výkonům, u nichž lze očekávat pooperační bezzáchvatovost s možným vysazením protizáchvatových léků. Určit, kdo je vhodným kandidátem pro kterou proceduru, je velmi složité. Žádný člověk a ani pacient není stejný jako někdo jiný. V našem Centru pro epilepsie provádíme výkony, které jsou tzv. “šity na míru” pro každého pacienta. Proto podstupují pacienti množství předoperačních vyšetření, jejichž cílem je odhalení ložiska vzniku záchvatů a jeho vztah k ostatním oblastem mozku, které nám umožní minimalizovat riziko vzniku pooperačního neurologického deficitu. Tyto metody můžeme rozdělit do jednotlivých protokolů: 1) základní, 2) rozšířený, 3) invazivní a 4) peroperační. Některé vyšetření lze provést ambulantně, některé ale vyžadují pobyt v nemocnici.
Následující postupy jsou standardní testy používané k identifikaci zdroje epileptické aktivity:
V případě, že nejsou výsledky standardních testů jednoznačné, používáme následující metody:
Pozitronová emisní tomografie (PET) je specializované zobrazovací vyšetření, které snímá metabolickou aktivitu mozku. Je schopno zobrazit tu část mozku, která je narušena epileptickým ložiskem.Pro osvětlení vztahu epileptického ložiska k jiným funkcím mozku (jako jsou centra a dráhy pro hybnost, řeč, smyslové funkce, apod.) používáme:
Funkční MRI (fMRI) a zobrazení mozkových drah (DTI) nám umožňují identifikaci a lokalizaci mozkových center a drah během plnění různých jednoduchých úkolů (pohyb končetiny, čtení, poslech) při provádění MRI.V určitých případech, k přesnému určení ložiska epilepsie a jeho vztahu k mozkovým funkcím, je pacient indikován k invazivnímu vyšetření pomocí intrakraniálního EEG:
Zavedení intrakraniálních hlubokých elektrod a S-EEG. Tyto elektrody jsou implantovány během operačního zákroku na neurochirurgickém sále v celkové anestezii s použitím stereotaktického rámu, který nám umožňuje vysokou přesnost zavedení. Tímto způsobem jsou přes jednotlivé návrty zavedeny hluboké elektrody, jejichž počet bývá cca 10 až 20. Po probuzení je následně pacientovi dlouhodobě (cca 4-10 dní) zaznamenávaná EEG aktivita a charakter záchvatů pomocí S-EEG (Stereo-EEG je obdobou Video EEG monitorování). Skrze zavedené elektrody můžeme elektricky testovat mozkové funkce. Pokud se podaří lokalizovat ložisko epilepsie, je možné provést skrze zavedené elektrody operační zásah pomocí tzv. RFTA (Radiofrekvenční termoablace, viz níže).K zpřesnění lokalizace epileptického ložiska jako i funkčně významných mozkových oblastí nám slouží během samotného výkonu následující metody:
Neuronavigace – operační plán (rozsah operačního výkonu, zobrazení některých funkčních struktur) je zakreslen do snímků z magnetické rezonance a je zanesen do neuronavigačního přístroje. Během operace umožňuje neuronavigační přístroj pomocí speciálního “ukazovátka” přímo zobrazit do tohoto navigačního plánu jakékoliv místo v mozku, na které operatér ukáže.Typ operace závisí do značné míry na umístění ložiska, z kterého záchvaty vycházejí, a na věku pacienta. Jak již bylo zdůrazněno výše, v našem Centru pro epilepsie provádíme výkony, které jsou tzv. “šity na míru” pro každého pacienta. V současné době dominují modifikace těchto hlavních typů operací:
Epileptochirurgická resekce je nejčastější epileptochirurgická procedura, jejímž cílem je odstranění té části mozkové tkáně, která je zodpovědná za vznik záchvatů. Může to být anomálie vznikající během vývoje mozkové tkáně, nádor, cévní malformace apod. Cílem zákroku je zbavení pacienta záchvatů a nakonec i vysazení protizáchvatových léků.
Hluboká mozková stimulace (DBS, deep brain stimulation) představuje zákrok, při kterém je pacientovi trvale zavedena elektroda do mozku a generátor impulsů do podkoží v oblasti hrudníku. Impulsy mají za cíl narušit abnormální aktivitu mozku vyvolávající záchvaty se snížením jejich četnosti a závažnosti.Výsledky operací se liší v závislosti na typu výkonu. U výkonů, jejichž primárním cílem je kompletní odstranění ložiska epilepsie (resekční epileptochirurgie), se pooperační bezzáchvatovost objevuje u 70 – 80 % pacientů. V případě, že je pacient bez záchvatů minimálně rok, lze zahájit postupné vysazování protizáchvatových léků. Tento proces je ale individuální, závislý na mnohých faktorech. U výkonů, u kterých lze předpokládat snížení četnosti a závažností záchvatů (VNS, DBS) je významný terapeutický efekt dosažen při snížení o 50 a více procent.
Jednotlivé oblasti mozku mají svou specifickou funkci. Rizika se proto liší v závislosti na místě operace a typu chirurgického zákroku. Složitým diagnostickým procesem a cílenou strategii samotného výkonu se snažíme o minimalizaci rizika jakéhokoli neurologického deficitu.
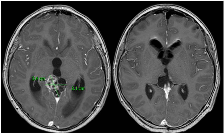
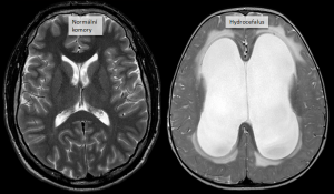
Hydrocefalus je termín označující nadměrné hromadění mozkomíšního moku v mozkových komorách. Přebytečný mok způsobuje tlak na mozkovou tkáň, a tím poškození mozku až s trvalými následky.
Mozkomíšní mok vzniká v mozkových komorách, protéká přes mokovod do páteřního kanálu a na povrch mozku (do tzv. subarachnoideálního prostoru), kde se vstřebává do žilního řečiště. Mozkové komory obsahují různé množství moku v závislosti na věku. Za den se celkové množství přibližně 3x kompletně obmění.
Hydrocefalus může být způsoben jednou či několika příčinami. Tradičně se rozděluje na dva typy:
Normotenzní hydrocefalus je zvláštní jednotkou. Vyskytuje se u starších dospělých.
Příznaky jsou rozdílné v závislosti na věku.
Diagnostickým cílem je zobrazení komorového systému CT vyšetřením nebo magnetickou rezonancí. U kojenců je možné využít ultrazvuk.
Doplňující vyšetření: oční vyšetření, které odhalí případné městnání; u normotenzního hydrocefalu se provádí tzv. LIT – lumbální infuzní test, který předpovídá úspěšnost zkratové operace
Léčba hydrocefalu je pouze chirurgická. V zásadě existují dvě možné operace – ventrikulostomie III. komory a zavedení ventrikuloperitoneální zkratu.
entrikuloperitoneální zkrat je implantát skládající se ze silikonových hadiček a ventilu. Operačně je hadička zavedena do mozkové komory. Druhá část systému odvádí mok přes podkoží do břišní dutiny. Ventil je umístěn za uchem a reguluje propustnost moku. V současné době se s naprostou většinou zavádí zkraty tzv. programovatelné, které lze přenastavovat magnetem přes kůži dle potřeb pacienta. Výjimečně nelze zkrat zavést do břišní dutiny. V tomto případě lze zavést zkrat do žilního systému, konkrétně do horní duté žíly, pak se jedná o zkrat ventrikuloatriální. Ojediněle lze také zavést zkrat lumboperitoneální. Jedná se o spojení páteřního kanálu s břišní dutinou.Spinální chirurgie se zabývá chirurgickou léčbou onemocnění páteře a nervových struktur, které s páteří souvisejí. Jedná se především o degenerativní postižení páteře, ale i o nádorová onemocnění, úrazy a infekce.
Potíže plynoucí z degenerativního postižení páteře jsou jedním z nejčastějších onemocnění, které řeší praktičtí lékaři a jednou z nejčastějších příčin pracovní neschopnosti pacientů v produktivním věku. Tyto problémy většinou dobře reagují na konzervativní léčbu – analgetika, protizánětlivé léky, fyzikální terapii a fyzioterapii – rehabilitaci.
Páteřní chirurgie je metodou další volby v případě, že konzervativní léčba bolestí nepřináší významný efekt či se potíže nemocného ještě dále zhoršují, případně již dochází k poruše citlivosti či hybnosti končetin. Tyto příznaky mohou být způsobeny útlakem nervových struktur. K tomu dochází u degenerativního onemocnění páteře z různých důvodů, především:
Výhřezem meziobratlové ploténky (hernie disku) – ten vzniká vytlačením střední rosolovité části disku trhlinou ve vazivovém prstenci a jeho následným tlakem na míchu či míšní nerv v páteřním kanále, s negativním ovlivněním nervových funkcí.Degenerativní postižení páteře je výsledkem postupného opotřebení páteře jako jakéhokoliv jiného orgánu, souvisejícího se stárnutím. Kostní struktury a vazy věkem zbytňují, obratle se vůči sobě posouvají a disky se časem stávají méně pružnými a jsou náchylnější k poškození i při relativně malé fyzické zátěži. Zvednutí těžšího břemene či podklouznutí může být přímou příčinou výhřezu v terénu degenerativně změněné ploténky. Faktory mající vliv na degeneraci jsou zejména: nadměrná tělesná hmotnost, fyzicky náročná práce, dědičná predispozice a kouření.
Degenerativní postižení páteře se týká především dvou nejvíce přetěžovaných úseků páteře:
Příznaky závisí na tom, kde se degenerativní proces nachází a zda tlačí na nervové struktury. Velmi časté jsou bolesti zad s různým způsobem propagace bolestí do horních či dolních končetin. Častěji se potíže projevují více intenzivně na jedné straně než do obou končetin symetricky.
K stanovení správné diagnózy slouží soubor následujících vyšetření:
Podle závažnosti potíží a délce jejich trvání se uplatňují různé postupy. Ná léčbě se podílí řada specialistů, především praktičtí lékaři, neurologové, fyzioterapeuti, intervenční radiologové a páteřní chirurgové.
CT vedená periradikulární terapie (CT PRT) je postup, při kterém je pod CT kontrolou zavedená jehla k bolestivému nervovému kořenu s následnou aplikací lokálního anestestika a kortikoidu.

Při operacích páteře můžeme zvolit různé způsoby operačního řešení. Každý přístup sebou přináší určité výhody i nevýhody a v případě, že tento přístup zvolíme, jej považujeme pro daného pacienta za nejlepší. Dlouhodobé výsledky jsou, bez ohledu na přístup, stejné:
Minimálně invazivní chirurgie páteře (MISS) je soubor postupů, jejichž cílem je minimalizovat postižení
okolní zdravé tkáně použitým chirurgickým přístupem. Samotný cíl operačních výkonů, t.j. uvolnění útlaku nervových struktur či zavedení instrumentária (klecí, šroubů, tyčí) a provedení páteřní fúze, je stejný jako u otevřených operací. Pacienti po těchto operacích mívají ale menší pooperační bolesti a rychlejší hojení operační rány a tím rychlejší rekonvalescenci a návrat k běžným životním aktivitám. Tyto přístupy však jednak kladou větší nároky na zkušenost chirurga a vyžadují i zvláštní přístrojové vybavení pracoviště. K přesnému zacílení operačního výkonu se užívají kvalitní rentgenové zesilovače, peroperační CT či spinální navigace, dále je potřebný kvalitní přehled vlastního operačního pole pomocí mikroskopu, exoskopu či endoskopu a pro vlastní operaci pak i speciální trubicová či perkutánní instrumentária. Rozvojem minimálně invazivních technik operativy páteře (MISS) se naše pracoviště zabývá jako jedno z prvních v České republice od roku 2004.Pacienty indikujeme nejčastěji z naší Neurochirurgické ambulance ve FN Motol (uzel “A”, 3. patro), část pacientů je indikována ze speciálních multioborových seminářů či po domluvě přímo překladem ze spolupracujících oddělení jiných nemocnic. U pacientů indikovaných k plánovanému operačnímu výkonu vyžadujeme kompletní interní předoperační vyšetření, které většinou provádí praktický lékař u kterého je pacient registrován. Pacienty přijímáme k hospitalizaci den před plánovanou operací. V den příjmu zkontrolujeme interní předoperační vyšetření a proběhne předoperační anestesteziologické konzilium. Následný den po příjmu provádíme plánovaný operační výkon v celkové anestezii, nejčastěji v poloze pacienta na břiše u operace bederní páteře a v poloze pacienta na zádech u operace krční páteře. První pooperační den bývá pacient standardně již mobilizován z lůžka a podstupuje specifickou pooperační rehabilitaci. Po některých typech operací je nutné nosit bederní korzet nebo krční límec (4-6 týdnů). Dle rozsahu operace a klinického stavu je pacient následně 3. – 5. pooperační den propuštěn do domácí péče s přesným rehabilitačním plánem a po základním zacvičení fyzioterapeutem. Po 4-6 týdnech od operace proběhne ambulantní kontrola, dle potřeby s doplněním kontrolního zobrazovacího vyšetření (RTG) a s následným doporučením k rehabilitaci ve spádu pod vedením fyzioterapeutem, případně s doporučením k lázeňskému pobytu. U pacientů s dobrým pooperačním klinickým průběhem je možné i rychlé navrácení zpět k běžným životním aktivitám, včetně návratu k pracovním činnostem pacienta – toto závisí především na prováděné profesi.
Správně indikovaná a včas provedená operace pro degenerativní onemocnění páteře vede u naprosté většiny pacientů k výraznému ústupu původních potíží. Především úleva od bolesti vyřazujících do končetin je výrazná, bolesti v zádech bývají ovlivněné méně. Důležitou podmínkou dobrého výsledku je ale i správná spolupráce pacienta po operaci, je třeba upravit životní styl, životosprávu, cvičit, dle doporučení absolvovat rehabilitace, vyvarovat se rizikových aktivit, extrémních fyzických zátěží, atd. Operace není sama o sobě absolutní léčbou, nejdůležitější je odstranit nebo alespoň omezit příčiny, které vedly ke vzniku potíží. Při dodržování příslušných doporučení má pacient po operaci páteře vysokou pravděpodobnost udržení svého dobrého fyzického stavu, včetně běžných zátěží, sportování a pokračování v předešlé pracovní činnosti.
Chirurgie periferních nervů je podobor neurochirurgie, který se zabývá chirurgickou léčbou patologií periferních nervů (periferních neuropatií) – především úžinových syndromů, poranění a nádory periferních nervů.
Periferní nerv představuje spojení mezi centrálním nervovým systémem (CNS – mozek a mícha) a jinými částmi těla. Tyto nervy vedou informace z těla (dotyk, bolest, teplo, chlad, vůně, chuť), které mozek následně vyhodnocuje a prostřednictvím nervů následně dává pokyny, prostřednictvím kterých můžeme vykonávat různé činnosti – chodit, mluvit, polykat, atd. Samotný nerv se skládá z vláken, které vedou nervové vzruchy a z obalů, které nervové vlákna, jako velmi křehké struktury chrání.
Poškozením periferního nervu vznikají příznaky, kterých závažnost (lehké, střední, těžké postižení) a dopad na každodenní činnosti závisí na charakteru, tíží a místě postižení, jako i na stavbě samotného nervu. Postiženy mohou být:
Nejčastějšími onemocněními periferních nervů, kterými se v rámci našeho pracoviště zabýváme, jsou úžinové syndromy (kompresní – útlakem periferních nervů vyvolané), úrazy a nádory periferních nervů. Zvláštní kapitolou jsou pak diagnostické biopsie n. suralis a reanimační výkony.
Úžinové syndromy vnikají v důsledku útlaku nervů v typických lokalizacích. Útlakem mediánního nervu v oblasti zápěstí vzniká syndrom karpálního tunelu, útlakem loketního nervu v oblasti lokte zase syndrom ulnárního sulku. Postižení v oblasti dolních končetin je méně časté. Tlakem na senzitivní nerv pro přední stranu stehna vzniká meralgia paresthetica, tlakem na lýtkový nerv v oblasti vnitřního kotníku zase syndrom tarzálního tunelu. Vzácně vznikají úžinové syndromy i v jiných lokalizacích.
Tento nejčastější úžinový syndrom se projevuje typicky nočním brněním palce, ukazováčku a prostředníčku s postupným zhoršováním příznaků, časté noční buzení s vyklepáváním postižené ruky. Později se potíže vyskytují i přes den, dochází k ztrátě citlivosti s vypadáváním předmětů z ruky. Vzniká v důsledku útlaku mediálního nervu v oblasti karpálního tunelu, co je úzký přechod v oblasti zápěstí, který je tvořen zápěstními kůstkami a vazem, který tento tunel překlenuje. Příčiny jeho vzniku jsou různorodé, často neexistuje jediná příčina, ke vzniku onemocnění obvykle přispívá kombinace rizikových faktorů:
Anatomické poměry – vrozeně užší karpální tunel (ženy), zlomeniny zápěstí, zánětlivé změny (revmatoidní artritida), otoky (hormonální léčba, těhotenství)K stanovení správné diagnózy většinou stačí anamnéza s popisem typických příznaků a objektivní vyšetření na neurologické a následně neurochirurgické ambulanci s potvrzením prostřednictvím elektrofyziologie:
Léčba útlaku mediánního nervu v oblastech zápěstí – syndrom karpálního tunelu – je v případě lehkého postižení konzervativní. Pakliže že jsou příznaky závažné nebo nereagují na konzervativní léčbu je indikovaná léčba chirurgická. Jedině správná léčba je předpokladem vymizení či alespoň zmírnění příznaků a obnovení funkce zápěstí a ruky. V případě, že k ní nedojde včas, je možné, že změny ve struktuře nervu způsobí trvalé postižení, bez možnosti zlepšení příznaků či funkce nervu jakoukoliv léčbou.
Na našem pracovišti v současné době preferujeme otevřený přístup, kterým dosahujeme velmi dobrých výsledků s minimem pooperačních komplikací. Výkon se provádí ambulantně, na zákrokovém sálku. V lokálním znecitlivění provádíme z krátkého řezu protnutí příčného vazu a tím uvolnění postiženého nervu. Po sešití rány a sterilním krytí pacient odchází domů. Výkony provádíme jednou týdně v pátek, následuje kontrola rány další úterý a následně za týden kontrola s odstraněním stehů. Touto technikou dosahujeme vynikající dlouhodobé výsledky s minimem komplikací. Mezi ty patří: neúplné uvolnění nervu, tvorba jizvy s recidivou onemocnění, infekce rány či poranění nervu a cév. Mírná bolest zápěstí či citlivost nervu při stisku ruky jsou přirozenými důsledky plynoucí z charakteru výkonu a mají pouze přechodný charakter. Vnitřní hojení totiž trvá několik měsíců, i když kůže se zahojí za pár týdnů. Návrat k běžným aktivitám lze předpokládat bezprostředně po zhojení rány. Návrat do pracovního procesu závisí především od profesního zařazení – od 2 týdnů až do 3 měsíců od operace.
Syndrom ulnárního sulku představuje druhý nejčastější úžinový syndrom vznikající útlakem loketního nervu v oblasti lokte (tzv. brňavka). Projevuje se bolestí vyzařující po vnitřní hraně předloktí prsteníku a malíku se snížením citlivosti v této oblasti. O pozdním a těžkém postižení, vyžadující časnou chirurgickou léčbu, ale s již sporným efektem svědčí postižení úchopu, slabost malých svalů ruky a fixované ohnutí malíku a prsteníku. Příčiny vzniku, diagnostické modality (klinika, EMG, zobrazovací vyšetření) i léčebné postupy (režimové opatření, opichy, operace – endoskopicky či otevřeně) jsou prakticky shodné se syndromem karpálního tunelu s důrazem na odstranění tlaku na loket při sezení a přetěžování svalových úponů při rotaci v lokti při režimových opatřeních a odlišení od ortopedické diagnózy tenisového lokte v průběhu diagnostického procesu.
Na našem pracovišti provádíme uvolnění loketního nervu v oblasti lokte za krátké hospitalizace, ve svodné (axilární blok) či celkové anestezii. Z krátkého řezu v oblasti vnitřní strany lokte uvolňujeme nerv v celém rozsahu. V případě potřeby je někdy důležité změnit polohu nervu (transpozice nervu). Následuje sešití rány a její krytí. Další den pacient obvykle odchází do domácí péče, stehy se odstraňují 10. – 12. pooperační den.
Nádory periferních nervů jsou poměrně málo časté. Jejich příčina je obvykle neznámá, některé se vyskytují v rámci dědičných syndromů (kupř. neurofibromatóza 1 a 2 – NF1 a NF2). Většinou se jedná o nádory nezhoubné, které ale mohou vést k významnému poškození nervu se ztrátou jeho funkce. Postihují jak nervy hlavové, tak i nervy míšní. Poškození periferních nervů nádorem může být dáno nádory, které z nervu vyrůstají (intraneurální nádory – nejčastěji schwannom, neurofibrom, zřídka perineurinom) či tlakem nádorů vyrůstajících z okolních tkání s tlakem na nerv (extraneurální nádory – nejčastěji lipom – z tukové tkáně a ganglionova cysta – z kloubu).
Diagnóza nádoru periferních nervů s návrhem dalšího postupu se stanovuje na základě níže uvedených vyšetření:
Zobrazovací vyšetření – pro ozřejmění charakteru nádoru, stanovení rozsahu postižení nervu a vztahu k okolním strukturám je nevyhnutelné provést některou zobrazovací modalitu – magnetickou rezonanci (MRI), ultrazvuk (USG) či vyšetření počítačová tomografií (CT).Histologické vyšetření nádoru, je nevyhnutelnou podmínkou k stanovení definitivní diagnózy typu nádoru periferního nervu. Vyšetřují se vzorky po biopsii nádoru nebo po jeho odstranění.
Cílem neurochirurgické léčby nádorů periferních nervů je získat vzorek k histologickému vyšetření, a pokud je to možné kompletní odstranění nádoru se zachováním kontinuity nervu, co vytváří předpoklad k obnově jeho postižené funkce. Významným předpokladem k dosažení tohoto cíle je (na našem pracovišti rutinní) použití mikroskopické či exoskopické kontroly během výkonu, peroperační neurofyziologické monitorace a kvalitní pooperační neurorehabilitace. V případě, že nádor prorůstá celým nervem a nejsou zachovalé funkční vlákna, po odstranění nádoru pokračuje rekonstrukční fáze výkonu s přímým sešitím nervových pahýlů, použitím nervových štěpů či reanimačním výkonem (viz níže).
Poranění periferních nervů se vyskytují poměrně často. V této oblasti naše klinika úzce spolupracuje s traumatologickým týmem Ortopedických klinik FNM. K poraněním periferních nervů dochází v důsledku přímého poškození nervu při otevřených poraněních ostrým předmětem (nebo úlomkem zlomeniny, či iatrogenně – během výkonu z jiné indikace) s částečným nebo kompletním přerušením nervu a okolních struktur nebo nepřímo při zavřených trakčních poraněních, kdy nerv je strukturálně celistvý, ale dochází k výpadku jeho funkce. Od toho se odvíjí další strategie léčby:
Při přímém poranění je prvotním cílem časné obnovení kontinuity nervu a to přímým sešitím postiženého nervu nebo s použitím nervového štěpu. Předpokladem k obnovení funkce nervu je včasná léčba, mikrochirurgická operační technika pod mikroskopickou či exoskopickou kontrolou a následná intenzivní neurorehabilitace včetně elektrostimulace. Po operaci následují opakované kontroly klinicky i elektrofyziologicky (EMG a NCS, viz výše) se sledováním postupného obnovování funkce postiženého nervu. Funkce postižených nervů se obnovují dlouhodobě – měsíce po poranění.Při postižení periferního nervového systému charakteru progresivní periferní neuropatie je v některých případech zapotřebí provést odběr vzorku periferního nervu k určení správné diagnózy s následným stanovení adekvátního léčebného postupu. Výkon probíhá ambulantně, v lokální anestezii, kdy se z krátkého řezu za zevním kotníkem odebere část senzitivního nervu – n. suralis s následným výpadkem citlivosti v malé oblasti zevního nártu. Další léčba je následně stanovena na základě výsledku histologického vyšetření odesílajícím neurologickým pracovištěm či Revmatologickým ústav VFN.
Při trvalém postižení funkce periferního nervu představují alternativu umožňující obnovu této funkce reanimačním výkony. Tyto postupy se používají především k obnově funkce paretického (ochrnutého) obličeje s využitím pasivních i dynamických závěsů a to jak u dospělých pacientů, tak u dětí postižených Moebiovým syndromem. Tento program naší kliniky je jedinečný v rámci České republiky a probíhá ve spolupráci s plastickými chirurgy z Chirurgické kliniky 2. LF UK a FNM.
Pod pojmem kraniocerebrální trauma (KCT) se skrývá veškeré poranění měkkých pokrývek lebních, lebky a především mozku. Spektrum poranění je velmi široké – od obyčejné “boule” po těžké mozkové poranění s trvalými následky či smrtí. Rozlišujeme tzv. primární mozkové poranění, které si můžeme představit jako onu samotnou “ránu”, kterou mozek dostane v momentě úrazu. Tento děj je nevratný a terapeuticky již neovlivnitelný. Jedinou oblastí, kde můžeme zasáhnout, je prevence – tedy důsledné používání ochranných pomůcek (helmy při sportu, atd.). Naopak, tzv. sekundární mozkové poranění vzniká v důsledku nárůstu intrakraniálního tlaku, často jako následek poranění primárního či dalších mechanizmů působících při samotném úrazu (např. krevní ztráta či porucha okysličení krve). Při zvyšování tlaku uvnitř lebky dochází k zhoršování prokrvení mozku, což v konečném důsledku může vést až k odumření jeho celých částí vlastním úrazem nezasažených. Terapeutická snaha směřuje především touto cestou.
Nejčastější příčinou KCT jsou dopravní nehody a různé druhy pádů, například ze schodů. Méně častými úrazy jsou sportovní a pracovní úrazy či úrazy po fyzickém napadení. Některá poranění hojně krvácí z poraněné kůže a přitom nejsou až tak závažná. Naopak některý úraz vypadá lehce, ale je velice nebezpečný, především u pacientů, kteří berou léky proti srážení krve – Warfarin, Pradaxa, Anopyrin atd. Velmi rizikové jsou pády z více než 1 metru nebo 5 schodů, chodci sražení autem, nehody aut ve vysoké rychlosti a pád na kole bez helmy. Pacienti s úrazem hlavy jsou nejprve vyšetřeni na Oddělení Urgentní Péče multidisciplinárním týmem – neurochirurg, traumatolog, neurolog, radiolog a intenzivista. Základním zobrazovacím vyšetřením pro tyto pacienty je počítačová tomografie (CT), která ukáže možné zlomeniny lebky, mozkové krvácení nebo mozkové kontuze – zhmožděniny. Dále umožňuje diagnostikovat případné další poranění (např. páteře, hrudníku, břicha či končetin). Další péče se odvíjí od tíže KCT. Některá poranění (viz. níže) vyžadují urgentní operační řešení, jindy postupujeme konzervativně a pacienta sledujeme kontrolou klinického stavu a CT. Je-li pacient uveden do “umělého spánku”, monitorujeme speciální sondou nitrolební tlak a další parametry. Při zhoršení stavu je někdy nutné operačně zasáhnout a předejít dalšímu postižení.
Vyjma patofyziologického rozdělení na primární a sekundární lze mozkové poranění rozlišovat dle rozsahu postižení na lokální a difuzní.

Kraniosynostóza je definována jako předčasný uzávěr jednoho či více lebečních švů vedoucí k deformitě lebky. Kraniosynotózy se mohou vyskytnout jako izolovaný defekt nebo jako součást určitého syndromu. Diagnóza se většinou stanoví brzy po narození. V diagnostice hraje důležitou roli klinické vyšetření (typický tvar hlavy), kefalometrie, případně RTG lbi, 3D CT a genetické vyšetření.
Důležité je dynamické hodnocení tvaru hlavy pomocí kefalometrie (kraniometrické vyšetření). Stanovuje se tzv. cefalický index (CI) jako procentuální vyjádření poměru šíře a délky lebky. Neléčená kraniosynostóza vede k progresivním deformitám lebky a tím k inhibici růstu mozku se zvýšením nitrolebního tlaku, jehož důsledkem může být funkční neurologické postižení nebo postižení zraku. Včasná diagnostika a včasná operační léčba je tedy zásadní pro další vývoj dítěte. U postižení nesouvisející s jinými vrozenými vadami či syndromy není po operačním řešení další psychomotorický vývoj dítěte ovlivněn.
Incidence kraniosynostóz je udávána kolem 1/2000-1/3000 porodů. V České republice je tak ročně diagnostikováno 40-50 nových případů. Indikace k operaci je tedy nejen z kosmetických důvodů, ale především z hlediska prevence poškození mozku.
Hlavní typy kraniosynostóz
Skafocefalalie je nejčastějším typem, je předčasně uzavřen sagitální šev. Skafocefalická mozkovna je velmi úzká, velmi dlouhá, má širokou čelní partii a velmi úzké záhlaví.
Trigonocefalie je druhou nejčastější synostózou. Je předčasně uzavřen metopický šev. Vzniká prominence centrální části čelní kosti a defigurace orbit. Při pohledu shora má lebka tvar trojúhelníku, oči jsou blízko u sebe.
Frontální plagiocefalie vzniká na podkladě jednostranného předčasného uzávěru koronárního švu. Vzniká oploštění jedné strany čela, deformace orbity a nadočnicového oblouku.
Brachycefalie vzniká při oboustranném předčasném uzávěru koronárního švu.
Hlava je v důsledku kompenzačního růstu do šířky velmi široká a velmi krátká. Předčasná synostóza koronárního švu je nejčastěji součástí syndromových kraniosynostóz (Crouzonův syndrom, Apertův syndrom, Muenkeův syndrom a další).
Raritní okcipitální plagiocefalie vzniká na podkladě předčasného uzávěru lambdového švu na jedné straně. Je třeba ji odlišit od posturální (deformační, polohová) plagiocefalie, která není indikována k operaci a v indikovaných případech se řeší pomocí modelační helmy.
Indikace k operační léčbě je nejen kosmetická, ale i funkční. Z kosmetického hlediska je třeba brát v úvahu horší sociální adaptaci dítěte v budoucnu. Děti s neléčenou kraniosynostózou jsou často společensky izolované a stigmatizované. V dospělosti trpí horší sociální adaptací a poruchami osobnosti. Cílem operace je zvětšení intrakraniálního objemu a optimalizace tvaru hlavy. Existuje celá řada operačních technik v závislosti na typu synostózy a věku dítěte (discize švu, strip kraniektomie v průběhu postiženého švu, kraniální remodeling, distrakční metody, endoskopické techniky). V posledních letech narůstá počet endoskopických výkonů s následnou modelací hlavy pomocí helmy. Operace mají být prováděny na superspecializovaných pracovištích se zaměřením na dětskou neurochirurgii. Operace se provádí většinou před prvním rokem věku dítěte, optimálně mezi 4-7 měsíci u sagitální synostózy a mezi 6 měsíci a 1 rokem u koronární, metopické a lambdové synostózy. U minimálně invazivních endoskopických výkonů se doporučuje řešení do 3 max. 5 měsíců věku dítěte. Vždy ale záleží na stupni deformity a dalších faktorech. Sledování po operaci probíhá ambulantně ve 3, 6 a 12 měsících od operace a dále jednou za rok do věku 7 let u jednoduchých kraniosynostóz, u komplexních synostóz i déle. Nezbytnou součástí kontrol je kraniometrické vyšetření. Reoperace u jednoduchých kraniosynostóz jsou vzácné, u komplexních ve 20-30%. K dosažení optimálního efektu remodelační operace je nutná včasná diagnostika kraniosynostóz a včasné vyšetření na specializovaném pracovišti, které provádí tyto operace. První vyšetření by mělo proběhnout nejlépe do 3 měsíců věku, při zvažování endoskopického výkonů co nejdříve (cca v 1 měsíci věku). Včasná diagnostika a vhodné načasování a provedení operace nejlépe umožní příznivý růst hlavy, fyziologický psychomotorický vývoj dítěte a optimální kosmetický efekt.
Pod termínem páteřní (spinální) dysrafismy rozumíme stavy vznikající poruchou uzávěru části páteřního kanálu a nervové trubice s ovlivněním tvaru a funkce páteře, míchy a nervových kořenů. Nejčastěji se vyskytují v bederní oblasti.
Příčiny jejich vzniku nejsou dosud zcela objasněny. Důležitou roli zde hrají faktory genetické v kombinaci s vlivy zevního prostředí. Především správná výživa těhotných v časných fázích těhotenství (kdy dochází k zásadnímu vývoji páteře a míchy), zejména adekvátní hladina kyseliny listové se ukazuje jako důležitý faktor v prevenci jejich vzniku.
Spinální dysrafismy můžeme rozdělit na otevřené (nervové struktury komunikují se zevním prostředím) a zavřené. Jednotlivé, níže uvedené, podtypy se můžou různě kombinovat.
Myelomeningokéla (spina bifida aperta) je onemocnění, při kterém nervové struktury (mícha a nervové kořeny) hřeznou na povrchu zad s různou poruchou uzávěru vrstev, které nervové struktury přirozeně kryjí (páteřní kanál, tvrdá plena, podkoží, kůže). Často se vyskytují v kombinaci s jinými poruchami vývoje nervové soustavy jako je vrozený hydrocefalus či poruchy vývoje v oblasti zadní jámy lební – Chariho malformace.
Rozštěp míchy (diastematomyelia) je příkladem komplexního páteřního dysrafismu, při kterém je mícha rozdělena na dvě poloviny často s výskytem chrupavčité či kostěné přepážky, která způsobuje fixaci míchy.
Všechny formy spinálního dysrafismu jsou přítomné již při narození, protože jsou výsledkem poruchy vývoje v prvních týdnech těhotenství. Většinou se projeví při narození nebo během růstu, vzácně až v dospělosti. Část těchto poruch vývoje zůstává zcela bez příznaků, nebo se projeví jen kosmeticky ve formě zmnožených chloupků, barevných skvrn či bulky v bederní oblasti. Otevřené dysrafismy jsou zřejmé již volným okem (myelomeningokéla při porodu, dermal sinus trakt jako ústí kanálku v bederní oblasti). V důsledku postižení nervových struktur (mícha a míšní kořeny) vznikají příznaky, kterých tíže závisí od míry postižení a někdy od délky jejich trvání (postižení se časem může zhoršovat). Tyto příznaky lze rozdělit následovně:
Mezi hlavní diagnostické modality, které nám pomáhají páteřní dysrafismy odhalit a určit rozsah postižení páteře a nervových struktur (tím i správnou operační strategii) jsou:
Chirurgický výkon již bohužel nemůže zvrátit vzniklé poškození, ale zabrání vzniku toho dalšího, či zhoršení stávajícího a dramaticky snižuje riziko infekce. Chirurgická léčba spinálních dysrafismů se liší podle typu. Cíle jsou však obecně platné a lze je shrnout následovně:
Způsob jakým lze dosáhnout optimální efekt operace (snížit riziko infekce a dalšího neurologického postižení) je časná diagnostika a operace na pracovišti zabývajícím se léčbou vrozených vývojových vad nervového systému a zároveň nabízí komplexní léčbu a sledování. Neurochirurgická klinika dětí a dospělých 2. LF UK a FN Motol je jedním z mála pracovišť, které tyto možnosti nabízí. Ve snaze optimalizovat výsledek chirurgického výkonu se u nás používá:
V dalším pooperačním průběhu je nevyhnutná dlouhodobá komplexní multidisciplinární (neurochirurgická, neurologická, ortopedická, urologická a rehabilitační) léčba a sledování.
Na naší neurochirurgické klinice se zabýváme především léčbou dětských pacientů se spasticitou způsobenou dětskou mozkovou obrnou (DMO).
Dětská mozková obrna je nejčastější příčinou spasticity a tělesného postižení u dětí. Je způsobená poškozením mozku, které vzniká před, během nebo těsně po narození. Infekce během těhotenství, předčasný a komplikovaný porod, nízká porodní hmotnost (do 2 kg) a infekce matky jsou nejčastěji uváděné rizikové faktory vzniku DMO. Toto postižení je bohužel nevratné, celoživotní. Proto je léčba zaměřená na léčbu následků – spasticity.
Spasticita je charakterizovaná zvýšením svalového napětí. Vyskytuje se často v kombinaci s tzv. spastickou dystonií, která se projevuje nepřirozeným rotovaným držením končetin v klidu. Dlouhodobé nepřirozené postavení různých částí těla vede v důsledku přestavby měkkých tkání a kloubních struktur ke kontrakturám a deformitám, čím se stává toto postavení trvalým. Spasticita může vzniknout i později, u starších dětí a dospělých, nejčastěji u pacientů s roztroušenou sklerózou, po cévní mozkové příhodě, po úrazu či s nádorovým postižením. Spasticita vede k významnému funkčnímu postižení pacienta, způsobuje bolest, narušuje spánek a vede k deformitám, co významně negativně ovlivňuje kvalitu života jak pacientů, tak i jejich opatrovníků. Diagnostikuje se klinickým vyšetřením, její příčina zas pomocí zobrazovacích metod – magnetickou rezonancí (MRI), která potvrdí strukturální poškození mozku nebo míchy.
Výskyt DMO je dlouhodobě stabilní – 1 na 500 porodů a to i přes pozoruhodný pokrok v zdravotní péči na novorozeneckých jednotkách intenzivní péče i v péči o nezralé novorozence, který můžeme pozorovat v posledních desetiletích. Různý stupeň spasticity se rozvine až u 80 % pacientů s DMO.
Léčba spasticity u dětí s DMO je komplexní a multidisciplinární (pediatr, neurolog, neurochirurg, ortoped, rehabilitační lékař, fyzioterapeut, protetik) a měla by být zahájena co nejdříve.
Jednotlivé modality léčby spasticity u DMO jsou:
Implantace baclofenové pumpy – tato metoda zabezpečuje kontinuální podávání baclofenu přímo do páteřního kanálu, kde účinkuje na míchu, a tím snižuje svalové napětí. Pumpa se zavádí do podkoží nalevo od pupku přibližně 5 cm pod poslední levé žebro. Hadička z baclofenové pumpy vede v podkoží přes bok na záda a zanořuje se do páteřního kanálu. Pumpa obsahuje baterii, kterou je nutné přibližně jednou za 5-7 let vyměnit. Dále je pumpa vybavena zásobníkem, který se plní účinnou látkou přes kůži injekční stříkačkou při ambulantní kontrole. Protože se podává léčivo blízko k míše, není vyžadováno vysoké dávkování a nedostavují se nežádoucí účinky jako při užívání baclofenu v tabletách. Nevýhodou této metody je trvalá závislost na přístroji, riziko infekce a předávkování. Baclofenovou pumpu indikujeme pouze v případě kladné odpovědi na baclofenový test a po schválení financování zdravotní pojišťovnou. Implantace pumpy je možná od 3 let věku.Historie motolského dětského neurochirurgického oddělení se datuje do ro

ku 1978, kdy se jeho primářem stává prof. MUDr. Vladimír Beneš I, Dr.Sc.. Nestor české dětské neurochirurgie již do té doby vykonával superkonziliární činnost v této oblasti i za svého působení na původním pracovišti – střešovické Neurochirurgické klinice ÚVN. Po založení oddělení dochází ke koncentraci dětských neurochirurgických pacientů a prudkému rozvoji neurochirurgické léčby dětí v celém jejím spektru, především v oblasti operační léčby vrozených vývojových vad a nádorového postižení nervového systému, v oblasti neurotraumatologie a léčby hydrocefalu. Pracoviště pod jeho vedením zavádí řadu progresivních a v té době unikátních postupů:
Společenským vrcholem této etapy působení pracoviště a oceněním jeho činnosti bylo pořádání světového kongresu dětské neurochirurgie ISPN 1991 (International Society for Pediatric Neurosurgery) v Praze.
V červenci 1990 se primářem Neurochirurgického oddělení FN Motol stává MUDr. Michal Tichý. V roce 2006 se sloučením Neurochirurgického oddělení dospělých vytváří společné neurochirurgické pracoviště a 1.7.2012 je ustanovena Neurochirurgická klinika dětí a dospělých 2. LF UK a FN Motol. Pracoviště pokračuje v dalším rozvoji v již zavedených oblastech v celém věkovém spektru pacientů (léčba vrozených vad, onkoneurochirurgie, neurotraumatologie, léčba hydrocefalu) a zavádí nové programy:
V září 2016 organizuje pracoviště setkání předních světových epileptochirurgů ESTM 2016 (Epilepsy Surgery Techniques Meeting) konaného v návaznosti na 12. celoevropský epileptologický sjezd (ECE – European Congress on Epileptology) organizovaný pod záštitou ILAE – Mezinárodní liga proti epilepsii.
1.10.2020 se přednostou Neurochirurgické kliniky dětí a dospělých 2. LF UK a FN Motol stává vnuk zakladatele doc. MUDr. Vladimír Beneš III, Ph.D.
| Oddělení JIP |
22443 2554 | |
| Standardní oddělení | 22443 2530 |
| Oddělení JIP |
22443 2533, 2532 | |
| Standardní oddělení | 22443 2561, 2562 |
| Objednávání pacientů
po-pá: 9,00 – 14.00 hod. |
22443 2501 | petra.zajickova@fnmotol.cz |
| Objednávání pacientů
po-pá 7,30 – 10,00 a 13,00 – 14,00 hod. |
22443 2564, 2501 | nchfnm@fnmotol.cz |
Pracovníci neurochirurgické kliniky dětí a dospělých FN Motol a 2. LF UK Praha se aktivně podílejí na výzkumu v oblasti neurověd a neurochirurgických onemocněních a na vývoji nových léčebných metod.Podílí se na mezinárodních studiích testujících nové léky a postupy pro celou škálu neurochirurgických onemocnění včetně nádorů mozku a míchy. Ve spolupráci s Ústavem patologické fyziologie má Neurochirurgická kliniky vybudovánu laboratoř pro experimentální modelování a léčbu úrazů hlavy a schválený patent – užitný vzor nového experimentálního zařízení.
Mezinárodní randomizovaná dvojitě zaslepená kontrolovaná studie hodnotící přípravek rindopepimut/GM-CSF s adjuvantní léčbou přípravkem temozolomid u pacientů s nově diagnostikovaným EGFRvIII-pozitivním glioblastomem po chirurgické resekci (Studie „ACT IV“)
Mezinárodní randomizovaná kontrolovaná klinická studie hodnotící bezpečnost a účinnost fibrinového tkáňového lepidla zahřátého párou a ošetřeného rozpouštědlem/detergentem (FS VH S/D 500 s-apr) ve srovnání s lepidlem DuraSeal jako doplňku k uzavření při durální sutuře
Terapie zvýšeného intrakraniálního tlaku u kraniotraumat pomocí blokády adenosinových receptorů kofeinem – experimentální studie IGA NR 9514
Přínos transkraniální dopplerovské sonografie pro diagnostiku funkčních změn po neurochirurgické remodelaci u kraniosynostóz IGA NR 8264
Prevence motorických deficitů po epileptochirurgických výkonech u dětí NV15-30456A
Hodnocení suprasegmentálních efektů selektivní zadní rizotomie NR8318
Neuropatologická analýza mozkové tkáně epileptických pacientů s farmakorezistentní epilepsií: korelace s protonovou magnetickou resonanční spektroskopií NF7411
Užití neuroendoskopie a laparoskopie při zkratových operacích pro hydrocefalus ND7678
Zadní rhizotomie při léčbě spastické formy dětské mozkové obrny ND6305
Změny spektra aminokyselin v biologických tekutinách a tkáních u dětí s nádorovým onemocněním IZ4349
Náhrada kostních defektů kalvy užitím autologních štěpů a metody „SPLIT SKULL“ – děleného kostního laloku IZ2909
Implantace fetální mozkové tkáně při léčbě Parkinsonovy choroby, experimentální metody a klinická aplikace IZ1176
The clinical utility of intraoperative electrocorticography in pediatric epilepsy surgical strategy and planning. Lesko R, Benova B, Jezdik P, Liby P, Jahodova A, Kudr M, Tichy M, Zamecnik J, Krsek P. J Neurosurg Pediatr. 2020 Jul 31:1-10. doi: 10.3171/2020.4.PEDS20198
Structural volumetry in NPH diagnostics and treatment-future or dead end? Vlasák A, Skalický P, Mládek A, Vrána J, Beneš V, Bradáč O. Neurosurg Rev. 2020 Jan 24. doi: 10.1007/s10143-020-01245-y
Evolution of pediatric epilepsy surgery program over 2000-2017: Improvement of care? Belohlavkova A, Jezdik P, Jahodova A, Kudr M, Benova B, Maulisova A, Liby P, Vaculik M, Lesko R, Kyncl M, Zamecnik J, Tichy M, Komarek V, Krsek P. Eur J Paediatr Neurol. 2019 May;23(3):456-465. doi: 10.1016/j.ejpn.2019.04.002.
Cognitive performance in distinct groups of children undergoing epilepsy surgery-a single-centre experience. Benova B, Belohlavkova A, Jezdik P, Jahodová A, Kudr M, Komarek V, Novak V, Liby P, Lesko R, Tichý M, Kyncl M, Zamecnik J, Krsek P, Maulisova A. PeerJ. 2019 Oct 8;7:e7790. doi: 10.7717/peerj.7790
Sagittal craniosynostosis associated with midline cephalhematoma or vice versa, case report and a review of the literature. Liby P, Lomachinsky V, Felici G, Vaculik M, Krasnicanova H, Tichy M. Childs Nerv Syst. 2019 Apr;35(4):729-732. doi: 10.1007/s00381-018-4020
Generalized quasiperiodic epileptiform activity in sleep is associated with cognitive impairment in children with drug-resistant focal lesional epilepsy. Novak V, Maulisova A, Jezdik P, Benova B, Belohlavkova A, Liby P, Tichy M, Krsek P. Epilepsia. 2019 Nov;60(11):2263-2276. doi: 10.1111/epi.1636
Differential patterns of metastatic dissemination across medulloblastoma subgroups. Zapotocky M, Mata-Mbemba D, Sumerauer D, Liby P, Lassaletta A, Zamecnik J, Krskova L, Kyncl M, Stary J, Laughlin S, Arnoldo A, Hawkins C, Tabori U, Taylor MD, Bouffet E, Raybaud C, Ramaswamy V. J Neurosurg Pediatr. 2018 Feb;21(2):145-152. doi: 10.3171/2017.8.PEDS17264
Injectable hydroxyphenyl derivative of hyaluronic acid hydrogel modified with RGD as scaffold for spinal cord injury repair. Zaviskova K, Tukmachev D, Dubisova J, Vackova I, Hejcl A, Bystronova J, Pravda M, Scigalkova I, Sulakova R, Velebny V, Wolfova L, Kubinova S. J Biomed Mater Res A. 2018 Apr;106(4):1129-1140. doi: 10.1002/jbm.a.36311
DTI-MRI biomarkers in the search for normal pressure hydrocephalus aetiology: a review. Hoza D, Vlasák A, Hořínek D, Sameš M, Alfieri A. Neurosurg Rev. 2015 Apr;38(2):239-44; discussion 244. doi: 10.1007/s10143-014-0584-0.
An effective strategy of magnetic stem cell delivery for spinal cord injury therapy. Tukmachev D, Lunov O, Zablotskii V, Dejneka A, Babic M, Syková E, Kubinová Š. Nanoscale. 2015 Mar 7;7(9):3954-8
Bobble-head doll syndrome: therapeutic outcome and long-term follow-up in four children. Guerreiro H, Vlasak A, Horinek D, Tichy M, Lisy J, Vanek P, Liby P, Hoza D, Beneš V, Nimsky C. Acta Neurochir (Wien). 2012 Nov;154(11):2043-9. doi: 10.1007/s00701-012-1458-2.
Peripheral nerve stimulation in intractable neuropathic pain. Kozak J, Kobesova A, Vrba I, Steindler J, Kolar P. Neuro Endocrinol Lett. 2011;32(3):226-33
Asymmetric dynamic cerebral autoregulatory response to cyclic stimuli. Aaslid R, Blaha M, Sviri G, Douville CM, Newell DW. Stroke. 2007 May;38(5):1465-9. doi: 10.1161/STROKEAHA.106.473462
Implanted vagus nerve stimulation in 126 patients: surgical technique and complications. Bláha M, Tichý M. Rozhl Chir. 2020 Summer;99(7):304-310
The effect of caffeine on dilated cerebral circulation and on diagnostic CO2 reactivity testing. Blaha M, Benes V, Douville CM, Newell DW. J Clin Neurosci. 2007 May;14(5):464-7
Hemorrhagic complications of intracranial pressure monitors in children. Blaha M, Lazar D, Winn RH, Ghatan S. Pediatr Neurosurg. 2003 Jul;39(1):27-31. doi: 10.1159/000070877
Cerebral blood flow and dynamic cerebral autoregulation during ethanol intoxication and hypercapnia. Blaha M, Aaslid R, Douville CM, Correra R, Newell DW. J Clin Neurosci. 2003 Mar;10(2):195-8. doi: 10.1016/s0967-5868(02)00126-1
Neurochirurgická klinika vyučuje mediky 2. lékařské fakulty Univerzity Karlovy v 6. ročníku ve třídenním bloku. Výuka pro zahraniční studenty probíhá v anglickém jazyce. Studenti se seznámí s celou šíří oboru Neurochirurgie včetně praktických dovedností a možností participace na operačních výkonech. Vyučující z Neurochirurgické kliniky je také součástí zkušební komise u závěrečné státní zkoušky z chirurgie.
V rámci postgraduální výuky na Neurochirurgické klinice probíhají předatestační klinické stáže lékařů z oboru chirurgie, neurologie, rehabilitace a psychiatrie. Klinika dále pořádá a umožňuje stáže začínajícím neurochirurgům v některých neurochirurgických subspecializacích.
Neurochirurgická klinika dětí a dospělých FN Motol a 2. LF UK Praha je zapojena do Ph.D. – Doktorských studijních programů. Tyto nabízejí nejvyšší formální vzdělání, kterého lze v České republice dosáhnout. Působí zde čtyři školitelé, kteří připravují podle individuálního studijního plánu své studenty ke státní doktorské zkoušce a obhajobě disertační práce v oboru Neurověd a Experimentální chirurgie.
| jméno | telefon | ||
| Přednosta | doc. MUDr. Vladimír Beneš, Ph.D. | 22443 2501 | vladimir.benes@fnmotol.cz |
| Zástupce přednosty | prof. MUDr. RNDr. Ondřej Bradáč, Ph.D. | 22443 2504 | ondrej.bradac2@fnmotol.cz |
| Vrchní sestra | Bc. Tereza Drbohlavová | 22443 2505 | tereza.drbohlavova2@fnmotol.cz |
Sekretariát |
|||
| Dětská část: | Petra Zajíčková | 22443 2501 fax. 2520 | petra.zajickova@fnmotol.cz |
| Dospělá část: | Tereza Šetinová | 22443 2504 fax. 2521 | tereza.setinova@fnmotol.cz |